Klinika Położnictwa i Ginekologii

PRENATALPROJEKT

 

 

Patologie związane z niewydolnością łożyska występują u 10 na 100 kobiet w ciąży. To bardzo dużo. Najczęściej objawiają się jako zatrucie ciążowe, w tym stan przedrzucawkowy,  rzucawka, czy hypotrofia, czyli  zbyt mały przyrost wagi dziecka – niedożywienia, niedotlenienie.  Schorzenia te występują częściej u młodych, nieobciążonych zdrowotnie kobiet, które zachodzą w ciążę po raz pierwszy. Pierwsza ciąża jest dla organizmu młodej kobiety rewolucją, a zmiany jakie zachodzą w jej funkcjonowaniu sprawiają, że nie zawsze organizm dobrze sobie z nimi radzi. Jednocześnie, obecnie kobiety coraz później zachodzą w ciążę, przez co obarczone są większym ryzykiem występowania chorób towarzyszących (otyłość, cukrzyca, nadciśnienie, choroby przewlekłe). One też są w grupie ryzyka. Wszystkie te stany sprzyjają rozwojowi niewydolności łożyska, które wprost prowadzi do bardzo przedwczesnych porodów, kiedy noworodek rodzi się z wagą około 1000 g, często kilka miesięcy za wcześnie.


Ratunkiem w takich sytuacjach dla przyszłych mam i ich dzieci są badania prenatalne, które pozwalają odpowiednio wcześnie wykryć nieprawidłowe funkcjonowanie łożyska i wdrożyć leczenie. Dla ciężarnych jest ono szansą na to, by urodzić zdrowe dziecko w odpowiednim, bezpiecznym tygodniu ciąży. Badania prenatalne wnoszą olbrzymią wiedzę dla ludzi zajmujących się opieką nad kobietami w ciąży i w wielu przypadkach pozwalają uniknąć  i zapobiec ciężkim powikłaniom zarówno u rozwijającego się dziecka, jak i jego matki – mówi prof. dr hab. n. med. Sebastian Kwiatkowski, zastępca lekarza kierującego Kliniką Położnictwa i Ginekologii Uniwersyteckiego Szpitala Klinicznego nr 2 PUM w Szczecinie, jeden z dwóch specjalistów w dziedzinie perinatologii w województwie zachodniopomorskim. 


Prof. Kwiatkowski jest także koordynatorem projektu PRENATALPROJEKT, którego celem jest diagnostyka, wczesne leczenie i edukacja w zakresie patologii związanych z niewydolnością łożyska. Według dotychczasowych światowych wyników, takie postępowanie pozwala zredukować występowanie wczesnych postaci niewydolności łożyska o ponad 80%, co jest przełomem porównywalnym z obecnym leczeniem cukrzycy w ciąży czy profilaktyką konfliktu serologicznego – tłumaczy prof. Kwiatkowski. Warunek jest jeden – skryningiem prenatalnym w zakresie niewydolności łożyska powinna być objęta każda kobieta w ciąży, a szczególnie ta, która jest w niej po raz pierwszy (w Polsce jako obowiązkowe badania prenatalne zaleca się kobietom w ciąży po 35. roku życia). Wystarczy do tego badanie USG i pobranie krwi. 

 

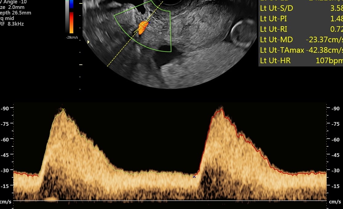
Prawidłowe przepływy w tętnicy macicznej w czasie ciąży, fot. USK-2

Kobietom objętym programem PRENATALPROJEKT wykonywane jest w 1. trymestrze badanie USG, mierzone jest ciśnienie oraz badane są trzy substancje, które pozwalają zdiagnozować funkcjonowanie łożyska i wykryć ww. patologie. Standardowe badania prenatalne obejmują badanie dwóch substancji i nie dają one wystarczająco miarodajnych i pewnych wyników co do prawidłowości funkcjonowania łożyska. W 2. trymestrze ciąży wykonywane jest już samo USG oraz badane ciśnienie. W przypadku wykrycia nieprawidłowości ciężarna zostaje objęta szczególną opieką i monitoringiem. W specjalnie utworzonej aplikacji, którą może pobrać na telefon i z której korzysta także jej ginekolog położnik, podaje mierzone kilka razy dziennie ciśnienie oraz wagę. Lekarz badań prenatalnych, biorący udział w programie decyduje o podjęciu leczenia. W przypadku niewydolności łożyska jest nim podanie odpowiedniej dawki aspiryny. Kobieta przyjmuje ją pod kontrolą lekarza do 36. tygodnia ciąży, który określany jest jako bezpieczny dla rozwoju dziecka, a rozwiązanie ciąży nie stanowi dla niego już takiego ryzyka.

Badania przeprowadzone wśród grupy 20 000 ciężarnych w 2017 r. wykazały, że podanie 150 mg terapeutycznej dawki aspiryny dziennie pozwala zapobiec wystąpieniu niewydolności łożyska u 82% kobiet. Przewidywalność wystąpienia tej patologii w 1. trymestrze jest możliwa aż u 94% kobiet! Stan przedrzucawkowy, którego efektem jest często przedwczesne rozwiązanie ciąży wyeliminowano u 80% ciężarnych. Obecne algorytmy pozwalają w większości przypadków zapobiec lub opóźnić wystąpienie schorzeń, jakie powoduje niewydolność łożyska. Postępowanie to zostało zarekomendowane przez największe towarzystwa naukowe, takie jak FetalMedicine Foundation (FMF) czy International Society in Ultrasound of Obstetrics and Gynecology (ISUOG). Również Polskie Towarzystwo Ginekologów i Położników w 2019 r. opublikowało podobne zalecenia. Zgodnie z algorytmami można wyselekcjonować i wykryć grupę ryzyka takich schorzeń u kobiet już na etapie 11.-14. tygodnia ciąży i przede wszystkim wdrożyć skuteczną profilaktykę. W niektórych kręgach, z powodów pewnych uproszczeń, badania prenatalne cieszą się niezbyt pochlebną sławą. Tymczasem w wielu przypadkach pozwalają one chronić i ratować życie zarówno ciężarnych, jakie i ich dzieci - mówi prof. Kwiatkowski - Badania z 2017 r. są tego dowodem. To olbrzymi sukces perinatologii. Naszym celem jest po pierwsze upowszechnienie tej wiedzy, po drugie próby wdrożenie jej w profilaktyce. Nie ma skuteczniejszych i tańszych działań medycznych niż wczesna profilaktyka – dodaje.

 

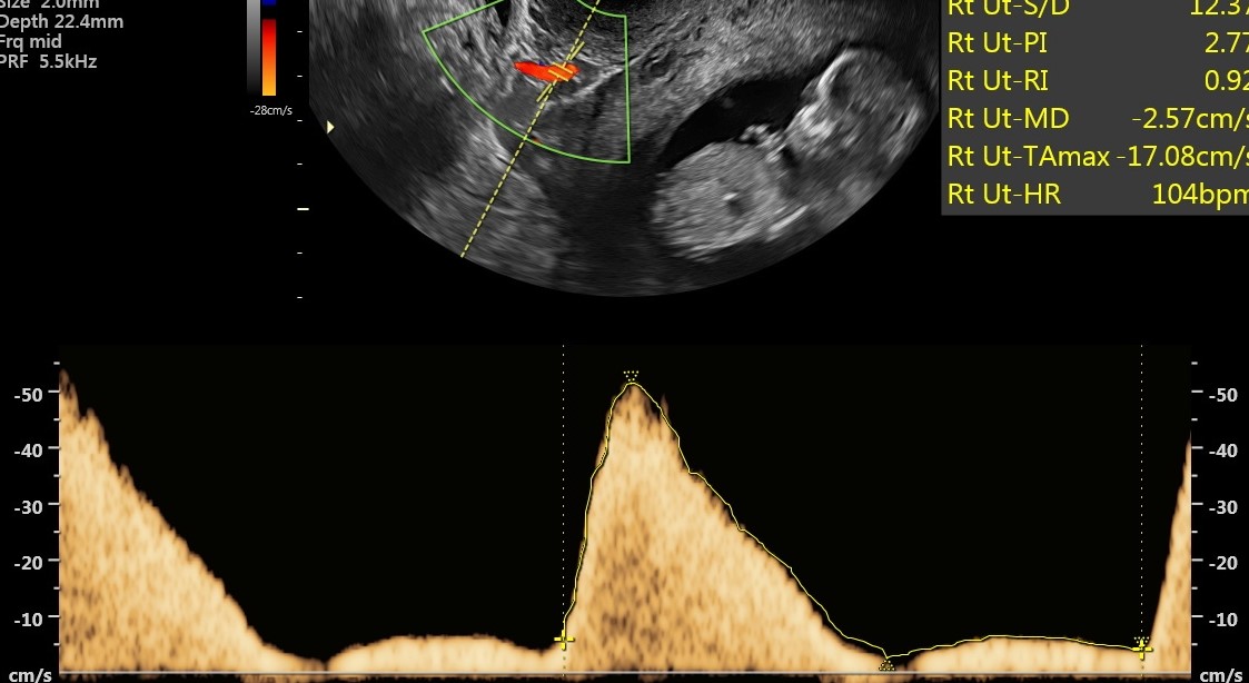
Nieprawidłowe przepływy w tętnicy macicznej w czasie ciąży, fot. USK-2


Niesłusznie idea badań prenatalnych wiązana jest jedynie z wykrywaniem nieprawidłowości chromosomalnych jak np. zespół Downa, Edwardsa czy Pateau. Tymczasem autorzy programu PRENATALPROJEKT koncentrują się na innym ich aspekcie i wskazują, jakie znaczenie te badania mogą mieć dla całej populacji kobiet w ciąży – niewydolność łożyska dotyka 10 na 100 kobiet. Dla porównania - w przypadku zespołu Downa, według różnych źródeł, stosunek ten wynosi od 1:700 w populacji. To pokazuje, jak wielu kobietom można dać szansę na urodzenie zdrowego dziecka.

Realizacja PRENATALPROJEKT rozpoczęła się w 2018 roku. Projekt ma własną stronę internetową, także na Facebooku. Opracowane zostały materiały edukacyjne dla ciężarnych (niżej prezentujemy ulotkę). W pierwszym etapie realizacji programu lekarze skupiają się na niebezpiecznym dla kobiet w ciąży nadciśnieniu, stanie przedrzucawkowym i hypotrofii. W planach jest objęcie badaniami także cukrzycy ciążowej. 

PRENATALPROJEKT rozwija również inne działania. To nie tylko diagnostyka i leczenie, ale i budowanie świadomości zdrowia swojego i swojego dziecka wśród ciężarnych. Program uzyskał oficjalną afiliację Polskiego Towarzystwa Ginekologów i Położników (PTGP), i jest jedyną jak dotąd oficjalną agendą, która edukuje nie tylko lekarzy, ale także pacjentki. Zgodnie z otrzymaną rekomendacją PTGP lekarze z PRENATALPROJEKT proponują pacjentkom poszerzony program badań prenatalnych, zapobiegających powikłaniom w drugiej połowie ciąży i związanym z tym zagrożeniom dla dziecka.

Program skutecznej profilaktyki niewydolności łożyska realizowany w Klinice Położnictwa i Ginekologii naszego szpitala zdobył finansowanie na kontynuację jego realizacji w 2020 r. Do tej pory w województwie zachodniopomorskim programem zostało objętych 350 kobiet ciężarnych. U ok. 10% z nich stwierdzono podwyższone ryzyko wystąpienia niewydolności łożyska (stan przedrzucawkowy oraz ewentualne ograniczenia wzrastania płodu). Zastosowano u nich kwas acetylosalicylowy, czyli właśnie aspirynę. 
 

 

ULOTKA - PDF

 

Więcej informacji na: www.prenatalprojekt.pl